MBA dental GbR
Our Services
Telescope Crown & Attachment
Our precision-crafted telescope crowns and attachments provide excellent stability and durability, offering an ideal solution for patients requiring a reliable, long-lasting dental restoration.
Partial Dentures
Complete Dentures
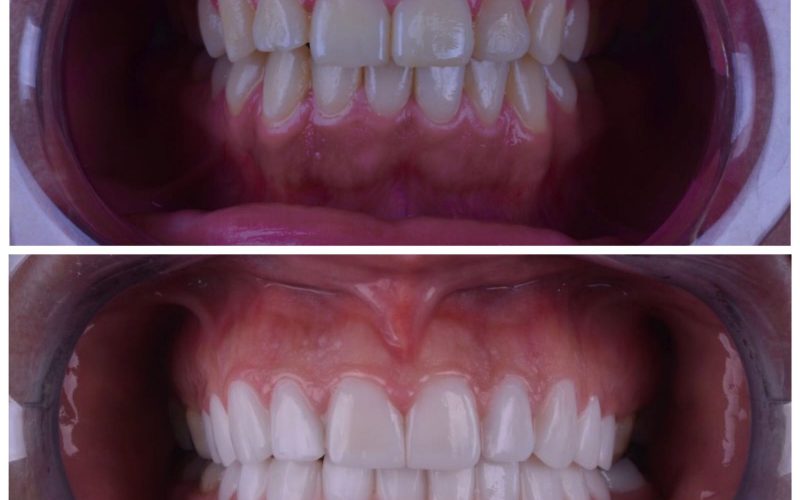
Hollywood Smile
Orthodontic Solutions
Dental Implants
Removable Veneers
Clear Aligners
Ceramic Crowns
Our high-quality ceramic crowns combine strength with natural aesthetics, making them ideal for patients seeking a durable yet visually appealing dental restoration.
Full Metal Crowns
Designed for maximum strength and longevity, our full metal crowns are perfect for patients who need durable restorations in high-bite pressure areas.
Zircon Crowns
Zircon crowns offer outstanding durability and natural appearance. They are biocompatible and ideal for patients looking for strong, aesthetic, metal-free restorations.
Multilayer Zirconia
Our multilayer zirconia crowns deliver a perfect blend of strength and translucency, creating highly lifelike results suitable for both front and back teeth.
Veneers
Custom-made veneers are a perfect solution to cover discoloration, gaps, or chips. We offer thin, durable shells that transform your smile with a natural and lasting finish.
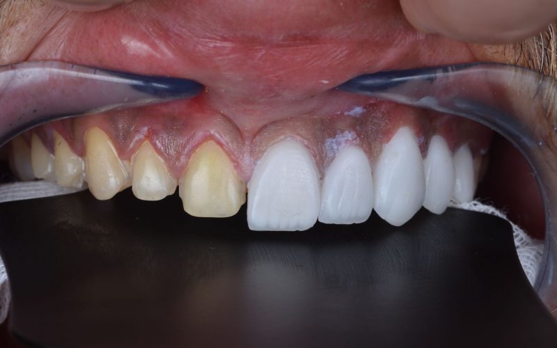
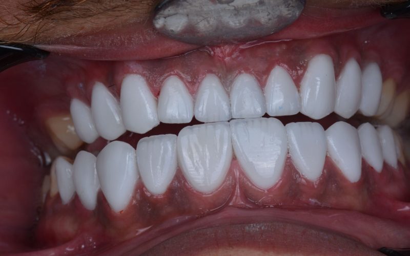
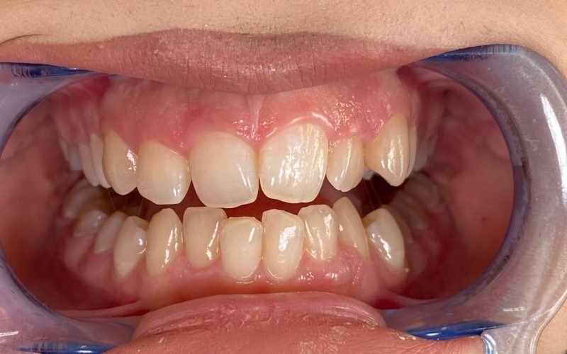
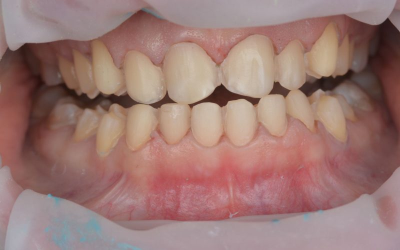
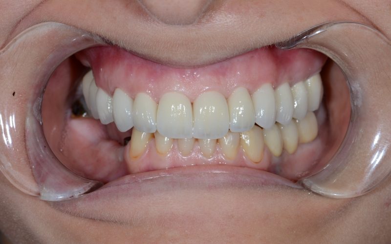
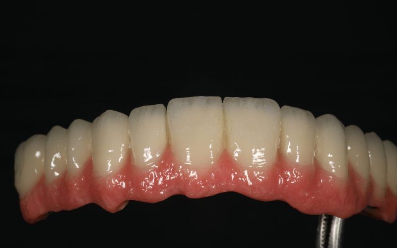
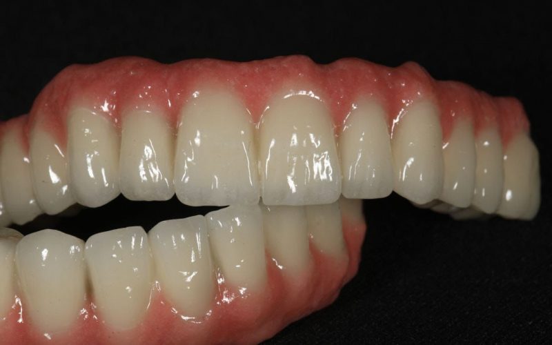
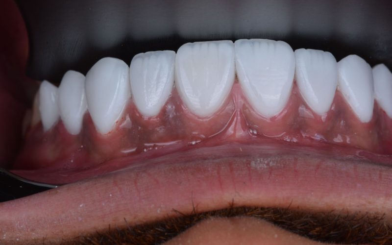
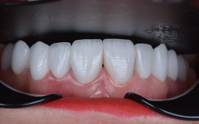
Gallery



































































Why Choose MBA Dental GbR?
High-Quality Materials
Advanced Technology
Expert Craftsmanship
Personalized Care
At MBA Dental GbR
At MBA Dental GbR, we are more than just a dental lab — we are innovators in modern dental technology. Based in Germany, our mission is to deliver precision, aesthetics, and durability in every dental solution we provide. With decades of experience and a passion for perfection, we serve dental professionals with world-class restorations and orthodontic appliances.
What sets us apart is our integration of the latest dental technologies into every step of our process. We utilize advanced tools such as:
3D Scanners and Internal Scanners to ensure ultra-precise impressions and digital accuracy.
3D Printers for fast, high-resolution prototyping and model creation.
3D Laser Metal Printers for producing strong and intricate metal frameworks with exceptional precision.
A fully digital CAD/CAM System that streamlines the design and fabrication process for unmatched quality and consistency.
From zirconia crowns to full dentures and clear aligners, our technology-driven approach ensures consistent excellence in fit, function, and aesthetics. Every case we handle is crafted with care, guided by innovation, and driven by results.
At MBA Dental GbR, we don’t just follow industry standards — we help set them.
